Jovem de 19 anos é internado após introduzir desodorante no ânus durante prática sexual

Giro de Noticias - 26/01/2026 - 18:21


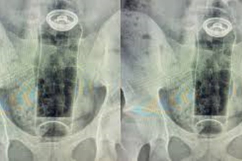
Um jovem de 19 anos precisou ser hospitalizado após um desodorante ficar preso no reto durante uma prática sexual. O caso foi atendido pelo cirurgião coloproctologista Daniel Brosco, que explicou que o objeto acabou sendo “sugado” pelo intestino e não pôde ser retirado em casa, exigindo internação para remoção segura.

Segundo o médico, o paciente relatou que utilizava o desodorante em uma “brincadeira” sexual quando a embalagem subiu para o reto. O episódio levou o especialista a fazer um alerta público nas redes sociais sobre os riscos do uso de objetos inadequados nesse tipo de prática.

“A fantasia não é o problema. O risco está em usar objetos que não foram feitos para isso. Imagine se o conteúdo da embalagem vaza ou se o objeto sobe a ponto de exigir cirurgia. Já atendi pacientes que desenvolveram infecções graves e até morreram”, alertou Brosco.

De acordo com o coloproctologista, situações como essa têm se tornado cada vez mais frequentes nos hospitais. Nos últimos meses, ele afirma ter atendido casos envolvendo a retirada de objetos como batata, partes de cadeira, garrafa de vidro e até plug anal.

O especialista explica que o intestino pode “puxar” objetos introduzidos no ânus devido aos movimentos peristálticos — contrações involuntárias responsáveis pelo funcionamento do órgão — além do efeito de vácuo em regiões como o reto, fazendo com que o item fique preso rapidamente.

Diante desse tipo de ocorrência, a orientação é procurar atendimento médico imediato. Tentativas caseiras, como o uso de laxantes, são perigosas e podem agravar o quadro, já que as contrações estimuladas pelo medicamento tendem a empurrar ainda mais o objeto.

Embora o sexo anal ainda seja cercado por tabus, especialistas esclarecem que a prática, quando realizada de forma correta, não oferece riscos à saúde nem causa problemas como hemorroidas. A região anal, inclusive, é considerada uma importante zona erógena por concentrar diversas terminações nervosas.

O perigo, segundo os médicos, está no uso de objetos improvisados. Para quem deseja explorar a região, a recomendação é utilizar apenas produtos desenvolvidos especificamente para esse fim, com materiais adequados e formato anatômico que reduzem o risco de lesões graves.

WhatsApp Giro de Notícias (73) 98118-9627
Adicione nosso número, envie-nos a sua sugestão, fotos ou vídeos.


Compartilhe:

COMENTÁRIOS

Nome:

Texto:

Máximo de caracteres permitidos 500/